Reading Assignment
The story of Doctor Kim A. Adcock’s approach to solving a problem in the radiology department at Kaiser Permanente in Denver reads like script background for one of those “procedural” TV shows such as CSI. We know who died (far too many) and we know who did it (doctors, sort of) but we’re not sure how to handle the evidence to make sure nobody gets killed next time.
Procedures that seemed reasonable to Kaiser in 1995 because they “had always been done that way,” turned out to be entirely unreasonable, with deadly consequences. And a solution that seemed impossible because of fear, turned out to be the best and most logical of solutions, and has saved countless lives.
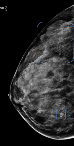
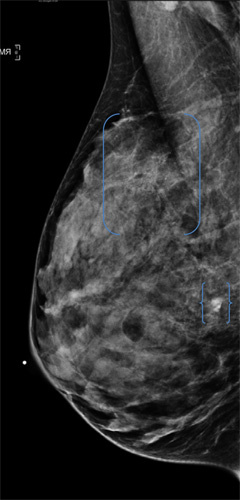
[Caption above and below:Mammography images (from 2010, left; and 2012, right) of a woman in her forties with no family history of breast cancer who missed a year of screening and in the interval developed suspicious right upper out calcifications [ ] and a suspicious mass { }, both of which underwent biopsy, yielding invasive carcinoma.]
I read this story when it first appeared in 2002 and have cherished its insights ever since. Now 15 years later, I had to go find it to share it with this class. Since reading it, and other stories like it, I cannot look at statistics of any kind without wondering what they really mean. If the crime rate goes down, does that mean there is less crime? Maybe not. It might mean fewer people are reporting crimes.
For example, in New Orleans after Katrina, distrust of the police ran so high most citizens in some neighborhoods preferred to suffer crime in silence than to involve the police. The very first thought that came to my mind listening to that story was, “I’ll bet the crime rate has gone down in those neighborhoods” and not because there’s less crime. The mayor though, and the chief of police, can trumpet those statistics as if they’re doing a better job in those same neighborhoods.
But I digress.
- Read the article, “Mammogram Team Learns From Its Errors.”
- Make Notes as you read.
- As a REPLY TO THIS PAGE.
- Every note should be an observation that points out a counterintuitivity.
- Number them as you go.
- Name as many as you can.
Photo Source: Radiologic Society of North America RSNA




-The amount of doctors that misdiagnosed or missed cancer in women is much higher than what it should be. No cancer should go undiagnosed or unseen, and the numbers of those that were missed in Dr. Adcock’s radiology department were extremely alarming.
-Adcock found this unacceptable and decided that since he was the new chief of radiology, he was going to do something about it. He started paying much closer attention to radiologists working under him. He fired people who were missing tumors on mammography readings, and also those who were not keeping up with new technology.
-Adcock set regulatory standards for the doctors and required them to keep up with new technology in order to stop these devastating mistakes from occurring.
-In an examination done by the New York Times, it was discovered that those who are in charge of reading mammograms are not always given the best training possible. Neither they nor the patients are educated well enough on cancer and mammograms, which leads to tumors being missed.
-The Denver group in Colorado, where Adcock worked, decided to use statistical analysis to put an end to misdiagnosed mammograms. This was called the “Kaiser” method.
-For instance, if a woman was diagnosed with breast cancer at Adcock’s hospital, the radiologist would be able to go back and see the woman’s previous mammograms to see if anything had been missed in the past. If a tumor was missed, they would be able to know what doctor missed it and take the necessary actions to make sure this did not happen again.
-Many doctors who had made mistakes in the past would not want to face their mistakes. Dr. Adcock called this the “shame factor”. When misdiagnosing someone and then finding out about it, a lot of the doctors would have extreme guilt and embarrassment from their mistakes.
-Kaiser came up with a method called medical outcome data. This would help to ensure that no more mistakes would be made. This method tracks the doctor’s actions towards their patients and how their actions affected them.
-Women who had been previously told that their mammograms were fine had to come back to be tested. Some women found out that they did have cancer, and were extremely angry. It was very painful for them to hear such shocking news after originally hearing good news.
-Kaiser was only sued by one woman for this issue.
-After such negativity the hospital had to take extreme action. They would then test the radiologists working periodically throughout every year. The better radiologists would be the ones who would read the actual mammograms, and the lesser would be assigned to what were considered easier tasks.
-After lots of research the Denver hospital concluded that the reason so many breast cancer diagnoses are missed is because breast cancer tumors come in many different shapes and sizes. It could be hard for the doctor to actually conclude as to what something was.
-This all means that the doctors in Denver are now finding about 15 more cancers a year than they were back in 1995.
-Clinics in North Carolina and New Hampshire are looking into doing the same kind of testing to improve their radiology department.
-At the Sloan-Kettering Cancer Center in New York they track false positives with mammograms, unlike many other hospitals. Unfortunately this tends to be a lot more expensive and not everyone can afford it.
-About ten years ago Congress created the national cancer registry so that radiologists could have a much easier time looking into their patients’ records.
-There are those that feel the government needs to get more involved in cancer screenings due to the amount of time and money it costs, as well as its extreme importance.
-In the end hospitals are a lot more specific about who they hire to read mammograms. They are very difficult to read and those who do so must be very educated in what they are doing. It is something that needs to be done on a daily basis in order to keep the knowledge fresh in one’s mind, according to Adcock.
Mammogram Team leans from its Errors
1. Radiologists shouldn’t have to keep a batting average of correct readings
2. It’s seems counterintuitive to fire the doctors instead of teaching them how to really read into mammograms
3.Addock shouldn’t have to waste time hunting out doctors who can’t do the jobs.
4.it seems counterintuitive to compar mammography to hip surgery, which is a different thing all together
5.it would be counterintuitive to contact every woman who has had a faulty mammogram, but not let the general population know that they were faulty.
1. I think it’s strange doctors wouldn’t want “keep score”. People that get into medical school are competitive and I would think they would want to try to beat each other or show that they are the best.
2. Woman might avoid mammograms because mammograms are not perfect
3. Most of the doctors have limited training reading mammograms despite it being called the most difficult job in radiology.
4. Doctors seem to rather continue making mistakes than get better.
5. Surgeons may artificially lower their death rates by avoiding high risk patients.
6. Most doctors are never tested once they leave medical school.
1. Dr. Adcock started a revolution in mammography to keep score of the doctors’ records. He would look at the cancers they missed and printed their batting averages in charts and graphs. With this, he would be able to keep track of who was accountable for what.
2. Due to this idea of his, he was able to find out which doctors were missing cancers and fired them. The article states that, “Dr. Adcock’s team is missing one-third fewer cancers,” which is a huge achievement, however, that means there are still doctors missing cancers.
3. A study done by New York Times has shown that most doctors that are reading breast X-rays in the United States are limited in their training and practice in mammography which is showing a lack of skills in this field of work. This also leaves the patients with little knowledge of knowing what is good and bad. It is things like this that are leading to doctors missing cancers.
4. Dr. Adcock’s method of keeping score is not only to get rid of certain doctors, but it is used to help them use statistics to fix common mistakes that doctors are making.
5. There are now other mammography programs starting to keep score. Many states are keeping track of doctors’ death rates for open-heart surgery.
6. At Kaiser in Denver, for a woman who receives a breast cancer diagnosis, a doctor is able to find old mammograms and see if her case was missed. This is extremely helpful because at most places around the world, a doctor will never hear of a patient again after giving them a mammogram.
7. Heart-surgery death rates have fallen by forty percent after the surgeon’s scores were being kept on track. Researchers began to believe that keeping track of scores may not have been the only factor decreasing the death rate. Some people believed that surgeons were getting better scores by avoiding the higher risk patients.